②歯垢、歯石 歯垢、歯石が歯の根元につく事で、明るさに重要な光を遮断してしまう為、歯が黄ばんでみえてしまいます。 ☆対策・・・歯垢や歯石は歯周病の原因の1つにもなります。まず歯石がついてしまったら必ず除去することが必要です。自分では落とせない!手強い歯の変色 Top3 目立って落ちない歯の着色が気になることはありませんか? 気にする必要が無いものから、すぐに治療した方が良いものまで、診療時にもよく見かける落ちない歯の着色のTop3について紹介します。歯石予防には、歯垢のうちに確実に落とすことが大切です。 もし歯石がついてしまったら、早めに歯科医院へ。 日ごろから定期的に検診を受けて、歯石をチェックしてもらうといいでしょう。 歯の役割としくみ 唾液の働き かむことの大切さ 歯垢と

コラム 渡辺動物病院 静岡県島田市
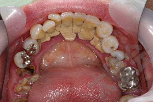
奥歯 歯石 茶色
奥歯 歯石 茶色- これが「歯石」とは違うところです。 歯石は放置してしまうと、歯周病を引きおこします。 歯周病は悪化すれば、わんちゃんの歯が抜けたり、 内臓疾患をおこしたりすることにつながります。 ですからわんちゃんの健康のため、歯石は取る必要があります。歯が黄色くなる8つの原因と治療法 セラミック 審美歯科 歯石 着色 神経 虫歯 Tweet `google_buzz` not found 歯を磨くときや鏡に写った自分の歯を見て 「歯が黄色いなあ」「毎日磨いているのに」「白い綺麗な歯にしたいな」と思っている方! 歯が黄色く




歯周病治療 荻窪の川勝歯科医院 杉並区で歯医者をお探しなら川勝歯科医院へお越しください
子供の歯の黒や茶色い点・線の原因は、 虫歯 や 着色汚れ であることが多いです。歯石は歯磨きでは落とせません。ちなみに歯についた 歯垢は、48時間で歯石になっていくと言われています。 歯茎より上にある歯石を縁上歯石、歯茎の中にある歯石を 縁下歯石といい、縁上歯石は少し黄色味のある白色ですが、 縁下歯石は黒いのです。歯の黄ばみ取れ、茶色の色素沈着を落とす、歯石除去、口臭対策 INTELLIGENT (インテリジェント) 唾液の自浄酵素入り猫犬用歯磨き粉 ペットの歯みならYahoo!ショッピング!2,040円~ご購入可能です。最安値情報や製品レビューと口コミ、評判をご確認頂けます。
茶色に色が付いた歯は虫歯では? 歯と歯茎の間が茶色くなったときに考えられる一番の原因は、磨き残しが固く石灰化する歯石です どんなに丁寧に歯磨きしているつもりでも少しずつ残ってしまう磨き残しが石灰化したものが歯石ですが、歯石になると 外から帰ってきたら、 ごはんを食べたら、 歯みがきの時に、 誰もがしたことのある、うがい。 冬も近いということで、風邪予防に手洗い・うがいを意識し始める季節ですね。 うがいをする時は、何を使っていますか? うがいと一口に言っても、方法は様々。 定番なのは水でのうがいです 歯石が付着しないようにするためには、日頃から歯垢をきちんと取り除かなければいけません。 23 唾液が作られる器官の出口は歯石が付着しやすい 歯石が付きやすい場所は「下顎の前歯の裏側」や「上顎の奥歯の頬側」といわれています。
これは「歯石」であることが多いです。 色になっているのを発見し、驚かれて来院されることがあります。また「3歳頃では奥歯が生えてきて、頬側や舌側がオレンジ色になっているんですがこれは何ですか? (3)歯が生えてきたときから黄色〜茶色 巨大歯石の大きさ 歯石が成長しやすいのは、下の前歯の裏、上の奥歯の外側などです。 これは唾液が出てくる穴があるため、常に唾液のリン酸カルシウムが吹き付けられているようなものだからです。 プラークが歯石になっても、初期の段階であれば




噛む力が歯を壊す 秩父市のaodインプラント ct相談室 落合歯科医院




歯茎の中に隠れた歯石 桶川の歯医者 アズ歯科 桶川医院 家族で通える優しい歯医者




おいしく歯石がとれた Egサイクルのナチュラルドッグフード 鹿の匠 丹波




犬の歯石について 正しい予防法と対策 わんちゃんホンポ



16年12月 デリック歯科ドクターブログ




3歳以上の猫の8割が歯周病 専門医に学ぶ 今日からできる 猫のオーラルケア 実践編 歯磨き 歯石予防




歯石と乳歯取りました パピヨン飼育日記



Q Tbn And9gcs47rki2hq1tu3khcsfz547uqns2wdapgrkcyhsabi Usqp Cau




歯石のつきやすい場所 西国立の歯医者かわしま歯科クリニック




歯の汚れの種類とは 歯垢や歯石 着色汚れなど種類に合わせた落とし方 Lidea リディア By Lion



歯石取ったどー 下田への旅 3 Ultra めい シェリ カイworld




普段の歯磨きの仕方と道具について 新浦安の歯医者 歯科なら栗林歯科医院




歯に出来た黒い点や茶色の初期虫歯coを削らずに自力で治す方法




予告 ショパン君 歯石除去行います 10月 19年 動物看護師科ブログ ブログ 専門学校ルネサンス ペット アカデミー 静岡県浜松市で動物の看護 美容 しつけ 飼育を学ぶ



一般歯科 歯科 ファーストスマイル




Image Space Rakuten Co Jp D Strg Ctrl 9 A3d8531



歯が黄色くなる8つの原因と治療法 池田歯科大濠クリニック




奥歯の縁上歯石を除去 神戸三宮の歯医者 精密な虫歯治療や審美歯科なら高田歯科




絶対歯石を取ったほうがいい本当の理由



Q Tbn And9gcqf2dtiun1jlemcnq74srlwecmmfz5vbu Rqaco3wblnr69m8nb Usqp Cau




獣医師の解説 症例写真つき 猫の歯周病の症状は 進行すると 予防法は ねこのきもちweb Magazine




歯周病治療 小林歯科医院 経堂 本厚木 インプラント



ティアラちゃん 無麻酔歯石除去施術 トリミングサロン ラポール




手術用顕微鏡 マイクロスコープ を使用しての歯石除去 医療法人社団徹心会ハートフル歯科




当院の説明 見えない所までお見せします 院長blog



橋本歯科医院 治療内容 歯周病 重度の歯周病




グラグラな歯 進行した歯周病 抜かずに治せる Part2 健造デンタルクリニック




お母さんに見つけてほしい初期むし歯 ママ パパ こども歯科教室 三重県鈴鹿市高岡台の歯医者 はしもと歯科



歯が黄色くなる8つの原因と治療法 池田歯科大濠クリニック




歯周病検査と歯の動揺検査 下関市の歯医者 歯周病認定医 吉本歯科医院



歯石除去の方法や注意点 頻度 歯周病治療なら東京国際クリニック 歯科




歯科処置 あじさい動物病院




奥歯の縁上歯石を除去 神戸三宮の歯医者 精密な虫歯治療や審美歯科なら高田歯科




コラム 渡辺動物病院 静岡県島田市




プロケアのススメ 歯石 歯の着色汚れ ステイン は 定期的に除去しよう Lidea リディア By Lion




プロが教える衝撃の事実 歯石は取っちゃダメ Dentalhacker




歯石除去の副次効果 柴犬 鼓太郎と小夏の陽だまり2




歯石 歯周ポケットを埋め尽くす黒い歯石を除去します Youtube




Amazon 歯の黄ばみ取れ 茶色の色素沈着を落とす 歯石除去 口臭対策 Intelligent インテリジェント 唾液の自浄酵素入り猫犬用歯磨き粉 ペットの歯みがきペースト はみがき粉 80g 1 Intelligent デンタルケア 通販




歯石について 天王寺の歯医者 歯科医院 松川デンタルオフィス




歯石を自分でとる方法 歯石除去 歯石がつかないようにするには




歯石の除去 市川市の歯医者 行徳スマイル歯科



歯垢と歯石の違い




Dental Care 三重県松阪市のトータルペットサロン



イオン 犬 はみがき 無添加 塗るだけ簡単 犬デンタルケア 口臭 歯石 汚れ除去 嫌がらない 売れ筋no1 101 Edog Meister 通販 Yahoo ショッピング




重度歯周疾患に対してエムドゲインを用いて再生療法を行ったケース 福山市の歯医者 歯科 やまもと歯科 朝8時 診療



歯の健康教室 鶴瀬駅の堤歯科 小児歯科の歯の健康教室




奥歯が臭い 奥歯の歯や歯茎が臭くなる12の原因と対処法




歯周病 歯ぐきの腫れ 出血 ぐらつき




歯石がおうちで手軽に取れる 歯石けずり を使ってみた Hanone ハノネ 毎日キレイ 歯の本音メディア




猫の歯周病は 丸呑みして吐く 獣医師りえの肉球日記




歯と歯茎の境目が黒い原因と歯茎をピンクにする方法 大阪のティコニーデンタルオフィス




3分でわかる歯周病 坂詰歯科医院




上の一番奥歯の歯茎から歯石が 東京都調布市の歯医者 歯科 柴崎駅5分の柳沢歯科医院




グラグラな歯 進行した歯周病 抜かずに治せる Part2 健造デンタルクリニック



1



歯科 デンタルケア 八王子市南大沢 かしの木動物病院




検証 歯みがきせずに 犬の歯石はとれるのか Anicom You アニコムユー




犬 歯石 すごい 犬 歯石 が すごい Freegbrjp




クリーニング 治療症例 パール歯科医院 千葉県船橋市




犬の歯がポップコーン 巨大歯石になっててビックリ おもみの札幌おいしい家庭



麻酔から覚めたプリンセスです San Franciscoのひとりごと 3




歯に黒い点があるのは虫歯 ザ ホワイトデンタルクリニック




歯石の除去 市川市の歯医者 行徳スマイル歯科



重度歯周病の治療 再生療法 石神井公園 歯医者 たけのうち歯科クリニック



奥歯の根本のあたりが白いです これは今見で歯茎の中にいたけど歯茎が Yahoo 知恵袋




歯の間の黒ずみ黄ばみはフロスでホワイトニングできるってホント 桜ばし歯科




歯が茶色になっているのは虫歯ではない 原因や対処方法を紹介 歯のアンテナ




犬の歯石除去と皮下腫瘤摘出手術を行ってきました




上尾 さいたま 蓮田 桶川の動物病院なら すぎむら動物病院




歯垢 プラーク と歯石の落とし方 歯の健康基礎知識 ライオン




歯周病治療ビフォーアフター 南区長丘の歯医者なら まんだい千恵歯科




ミニチュア ダックスフンド 軽度歯周病 犬や猫の歯の治療なら 海老名市のかしわだい動物病院へ




獣医師監修 犬の歯周病対策 歯石 歯垢の取り方と予防方法を紹介 アクサダイレクト



歯石がまた 取れた さいたま市のブリーダー横山の公式ブログ




犬の歯石の取り方は 自宅でできる 除去費用や対策法まとめ Pepy




ペットロスを先取り 歯石取りで愛猫が半日入院 犬 猫との幸せな暮らしのためのペット情報サイト Sippo




奥歯の溝が黒い 治療が必要ですか 八潮駅前通り歯科医院 埼玉県八潮市の歯医者




50代女性 奥歯のオールセラミック 治療例 東京駅前しらゆり歯科 東京駅八重洲口 日本橋駅




歯周病について さくらデンタルクリニック 岡山市 インプラント 岡山市の歯科医院 インプラント治療




歯石の付きやすいところ あんしん歯科情報 A




犬の歯周病について3 歯周病が進行すると 獣医師が教える 犬の健康コラム By Green Dog




お母さんに見つけてほしい初期むし歯 ママ パパ こども歯科教室 三重県鈴鹿市高岡台の歯医者 はしもと歯科




自宅で取れる 犬の歯石 院長コラム ごとふ動物病院




歯茎の中に隠れた歯石 桶川の歯医者 アズ歯科 桶川医院 家族で通える優しい歯医者




治療症例 神戸市のあい歯科 兵庫区のインプラント 審美歯科もある歯医者




歯周病治療 荻窪の川勝歯科医院 杉並区で歯医者をお探しなら川勝歯科医院へお越しください



病院紹介 小松歯科医院



平木歯科医院 山陽小野田市 12年6月




犬の歯石除去 ジョン動物病院のブログ




デンタルケア こにし動物クリニック



ミルクちゃん Alegrias てんちょうブログ 犬猫の心と体の健康のために




歯周病治療 マツモト歯科クリニック 西日暮里駅近くの歯医者さん




歯に出来た黒い点や茶色の初期虫歯coを削らずに自力で治す方法




歯科処置 あじさい動物病院




犬のスケーリング 歯石除去 ジョン動物病院のブログ




歯周病予防と歯石除去 西山動物病院 流山市 南流山 松戸市 柏市




歯石除去 自宅で初めて愛犬の歯石取り リペアン 使ったら驚きの結果に 天然ゼオライト Youtube




猫ちゃんでも 歯磨き 大切です 右京動物病院ブログ




歯がザラザラする 歯石について 新着情報



Beforafter写真集その すごい Beforafter写真たち イーsmile



鶴ヶ島にある口コミで評判の歯科 さくらの山歯科クリニックのブログ




歯周病の治療



Q Tbn And9gcqukzc9uokxaqjsoimlamfq4udviwaa3h0c29iicat5nl9ypiab Usqp Cau
0 件のコメント:
コメントを投稿